Uma região cerebral com potencial de alteração precoce por Alzheimer, implicada na perda de memória, foi identificada por uma equipa multidisciplinar de cientistas da Universidade de Coimbra (UC).
“A descoberta pode ter implicações muito relevantes em termos de terapias futuras, dado que identifica, com clareza, um alvo cerebral de alteração precoce, implicado na perda de memória, que pode ser estudado diretamente e de forma focada em novos ensaios terapêuticos”, afirmou a UC, em nota enviada à agência Lusa.
Citado na nota, Miguel Castelo-Branco, investigador da Faculdade de Medicina (FMUC) e um dos coordenadores do estudo, explicou que a descoberta “abre caminho para o desenvolvimento e teste de terapêuticas direcionadas à redução da neuroinflamação na doença de Alzheimer”.
A zona cerebral identificada chama-se cíngulo posterior e a investigação demonstra, “em fases muito iniciais da doença de Alzheimer, alterações tripartidas únicas: inflamação neuronal, acumulação de amiloide e atividade neuronal aparentemente compensatória”.
“A região identificada é crítica, pois serve de pivô em processos de memória de curto e longo prazo que sabemos estarem crucialmente afetados na doença de Alzheimer”, frisou o investigador da FMUC.
A descoberta no cérebro humano foi demonstrada ao vivo, num estudo que incluiu a participação de doentes “em fases muito iniciais da doença de Alzheimer e pessoas saudáveis com as mesmas características sociodemográficas”.
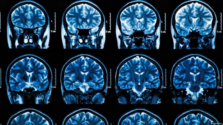
Os cientistas utilizaram “um conjunto de técnicas avançadas de imagem funcional e cerebral”, concretamente um “PET duplo”, uma tomografia “que mede, no mesmo doente, neuroinflamação e deposição de amiloide” e a ressonância magnética funcional “para medir a atividade cerebral em tarefas de memória”.
Para além de Miguel Castelo-Branco e de Isabel Santana, do Centro Hospitalar e Universitário de Coimbra (CHUC) e também coordenadora da investigação, a equipa de cientistas foi formada por Nádia Canário e Lília Jorge, primeiras autoras do estudo, e Ricardo Martins, investigadores do Centro de Imagem Biomédica e Investigação Translacional do Instituto de Ciências Nucleares Aplicadas à Saúde.


































